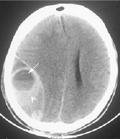
A 30-year-old male presents to the emergency department with severe headache and altered level of consciousness.