- Clinical Suspicion
Ottawa Subarachnoid Hemorrhage Rule: for patients with acute nontraumatic headache worst within 1 hour, any of the following features make SAH a likely diagnosis:
- Age 40 and above
- Neck pain/stiffness
- Limited neck flexion
- Loss of consciousness seen
- Onset on exertion
- Thunderclap headache
- Specificity: 15%
- Sensitivity: 100%
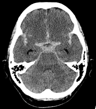
- Gold Standard: Noncontrast Head CT
Hyperdensity in normally dark spaces filled with CSF; namely in the basal cisterns (MOST), Sylvian fissures, lateral ventricles.
- Specificity
- Sensitivity: 100% @ 6 hours --> gradually decrease to 58% @ day 5.
- Pros: very quick, readily available, cheap
- Cons
IF CT does not show anything, Lumbar Puncture must be performed to detect SAH. Blood can be detected with the act of puncture alone; blood needs to be present on all four tubes to be determined SAH. This is shown as a yellow color of the fluid after it has been spun in a high speed ("xanthochromia).
If both CT and LP are negative, and they are done within two weeks of headache, we can say that SAH is unlikely. If more than two weeks...
- CT or MR Angiography
Significantly improved spatial and temporal resolution; can distinguish small vessels. These can detect aneurysms 3mm or more. Thus very useful once SAH has been diagnosed and we want to locate the aneurysm for treatment.
- Specificity
- Sensitivity: 83-98%
- Pros
- Cons