- Case Presentation
A 40-year-old male presents to the emergency with a 2-day history of nausea/vomiting, and crampy abdominal pain. He has not had a bowel movement for 1 week.
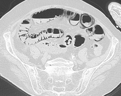
- Picture: CT (axial view)
- Name of Sign
-
- Pneumatosis Intestinalis
- Pathophysiology
-
- Invasion of gas-producing bacteria into the intestinal walls / dissection of intraluminal gas due to increased pressure in the GI tract.
- Differentials
-
- Peptic ulcer disease (leading to perforation of stomach wall), IBD (especially Crohn’s disease), bowel obstruction, diverticulitis, colitis, appendicitis, perforation