- Case Presentation
A 60-year-old female presents with shortness of breath, fevers, and severe pleuritic pain for the past 3 days. She has been mostly in bed due to a hip fracture. Her past history includes depression and anxiety.
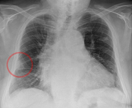
- Picture: X-ray
- Name of Sign
-
- Hampton’s Hump Sign
- Pathophysiology
-
- Pulmonary embolism cuts off blood supply to the lungs. The hump is a wedge-shaped area of lung tissue infarct and hemorrhage from bronchial arteries.
- Differentials
-
- This sign is characteristic of pulmonary embolism. However, absence of this sign does NOT rule out pulmonary embolism.