Home
About
Contact
Feedback
Incidental findings
Sign of the Day
Home
About
Contact
Feedback
Incidental findings
Head
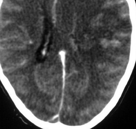
Picture: Contrast-Enhanced CT Brain
Name of Sign
Empty Delta Sign
Pathophysiology
The triangular shaped area that can be identified at the posterior pole of the head represents a filling defect due to the thrombus impeding blood flow.
Differentials
Dural venous sinus thrombosis (stroke)