- Stenosis Measurement
North American Symptomatic Carotid Endarterectomy Trial (NASCET): Measures the lumen diameter at the most stenosed segment, then compares with diameter of non-stenosed internal carotid artery more distal (away from head) from the stenosis.
- Gold Standard: Cerebral Angiography
- Pros: Can evaluate the ENTIRE carotid artery pathway. It can help evaluate: presence of atherosclerosis, shape of the plaque, collateral vasculature around the vessel.
- Cons: Invasive, expensive, risk of morbidity due to neurologic complications.
- Carotid Duplex Ultrasound
Uses ultrasound and Doppler U/S to detect local changes in blood flow - as you might imagine, fluid flows faster across a narrower pipe under the same pressure. Thus, in CDUS, peak systolic velocity is measured to determine the degree of stenosis.
- Specificity: 100% for peak systolic velocity (PSV) >4.4m/s. Overall 82-89% specific for detecting stenosis in ICA.
- Sensitivity: 96% for PSV >2m/s. 81-98% sensitive.
- Pros: noninvasive, inexpensive
- Cons: tends to overestimate the degree of stenosis. Less precise when evaluating < 50% stenosis.
- Adjunct: Transcranial Doppler
Evaluates the big arteries in the brain through the skull base and the orbit. It is used with CDUS to look into how much the brain is being perfused in the context of the ICA stenosis.
- ICA lumen at the origin < 1.5mm is generally determined as a significant stenosis
- Transorbital: Reversed flow in ophthalmic artery, and 50% PSV difference between the distal ICAs on either side.
- Transtemporal: >35% difference in PSV between MCA, and >50% difference between ACA are significant.
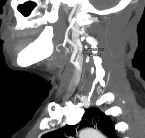
- Other Modalities
Contrast-Enhanced U/S, 3D Ultrasound, Compound Ultrasound, Magnetic Resonance Angiography, Computed Tomography Angiography