- Case Presentation
A 48-hour-old newborn child presents with central cyanosis and murmurs detected on precordial exam. He also displays irritability and short rapid breathing for his age.
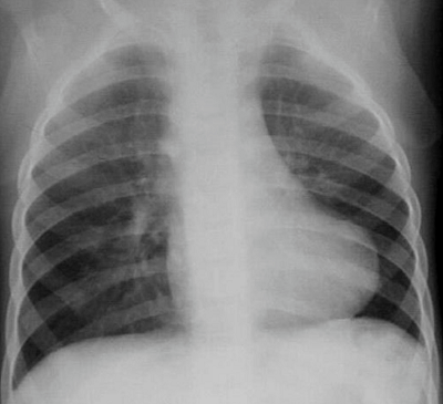
- Picture: Chest X-ray
- Name of Sign
-
- Boot-Shaped Heart Sign
- Pathophysiology
-
- The boot shape is due to the hypertrophy of right ventricle turning the cardiac apex toward the left lateral side, while misplacement of aorta and missing pulmonary arteries appear as the narrow stem of the boot.
- Differentials
-
- Tetralogy of Fallot